Nhiều người đặt câu hỏi liệu có nên trám răng thưa hay không khi họ mong muốn cải thiện về mặt thẩm mỹ cho hàm răng của mình. Việc trám răng không chỉ là một phương pháp nha khoa chuyên nghiệp mà còn là một giải pháp hiệu quả để khắc phục tình trạng răng thưa, mang đến sự đồng đều và hài hòa cho nụ cười.
Trám răng là việc phục hình thẩm mỹ, là một quá trình nha khoa có thể được áp dụng để làm mới hình dáng của răng. Đặc biệt là trong những trường hợp mà răng thưa gây ảnh hưởng đến vẻ ngoại hình của người đó. Điều này không chỉ giúp nâng cao về mặt thẩm mỹ mà còn có thể cải thiện chức năng chewing và tiện lợi trong việc duy trì sức khỏe nướu và răng.
Để đưa ra quyết định có nên thực hiện quá trình trám răng thưa hay không? Quan trọng nhất là hiểu rõ về tình trạng của răng thưa. Răng thưa có thể xuất phát từ nhiều nguyên nhân, bao gồm kích thước răng không đều, mất răng, hoặc các vấn đề liên quan đến cấu trúc của hàm răng. Trước khi quyết định trám răng, việc tham khảo ý kiến của bác sĩ nha khoa là quan trọng để xác định liệu pháp điều trị nào phù hợp nhất.
Bài viết này sẽ giúp bạn biết thêm về thông tin chi tiết khái niệm răng thưa cũng như tìm hiểu về ưu và nhược điểm của quá trình trám răng, từ đó giúp bạn có cái nhìn toàn diện hơn khi đưa ra quyết định về việc cải thiện hình dáng và chức năng của răng thưa.
Nguyên nhân gây ra tình trạng răng thưa
Răng thưa là hiện tượng mà một khoảng trống xuất hiện giữa hai răng, có thể tìm thấy ở bất kỳ vị trí nào trong hàm răng. Khi khoảng trống giữa hai răng có thể dễ dàng nhận biết bằng mắt thường, chúng ta gọi đó là răng thưa. Đây không chỉ là một vấn đề thẩm mỹ mà còn liên quan đến sức khỏe nướu và chức năng của hệ thống răng miệng.
Có nhiều nguyên nhân đằng sau tình trạng răng thưa và việc hiểu rõ về chúng có thể giúp chúng ta có cái nhìn tổng quan về vấn đề này:
- Kích thước không phù hợp giữa răng và xương hàm có thể dẫn đến răng trở nên thưa hơn hoặc mọc chen chúc chồng chéo lên nhau.
- Việc mất răng hoặc răng có kích thước quá nhỏ cũng có thể tạo nên khoảng trống.
- Thắng môi, một mảnh mô kéo dài từ bên trong môi trên đến nướu, khi có kích thước lớn, có thể tạo ra khoảng cách giữa hai răng.
- Thói quen xấu như xỉa răng bằng tăm, mút ngón tay, kéo răng cửa về phía trước, hoặc nuốt thức ăn không đúng cách cũng đều là các yếu tố có thể gây ra khoảng trống giữa các răng.

Ngoài ra, bệnh nướu răng cũng đóng một vai trò quan trọng, khiến cho xương hàm yếu đi và tiêu biến, tăng nguy cơ mất xương hàm và làm cho răng dễ lung lay. Từ đó di chuyển không kiểm soát và tạo nên khoảng trống.
Để giải quyết vấn đề này, việc tham khảo ý kiến của bác sĩ nha khoa là cực kỳ quan trọng. Việc trám răng thưa có thể là một phương pháp nha khoa hiệu quả, nhưng quyết định cuối cùng nên dựa trên sự đánh giá chính xác về tình trạng cụ thể của mỗi người và các yếu tố cá nhân.
Răng bị thưa không chỉ mang lại vấn đề về thẩm mỹ mà còn gây ra một loạt các vấn đề lâu dài, đòi hỏi sự chăm sóc và khắc phục ngay từ khi phát hiện tình trạng này. Việc giữ gìn sức khỏe răng miệng không chỉ là vấn đề của vẻ ngoại hình, mà còn liên quan đến sức khỏe toàn diện của cả cấu trúc xương hàm và hệ thống tiêu hóa.
Răng thưa không chỉ ảnh hưởng đến vẻ ngoại hình mà còn tác động đáng kể đến cấu trúc xương hàm. Việc mất đi sự đều đặn của răng có thể tạo ra tình trạng sai lệch khớp cắn, ảnh hưởng đến kết cấu xương hàm và gây biến dạng khuôn mặt. Điều này không chỉ là một vấn đề thẩm mỹ mà còn có thể gây ra những vấn đề nghiêm trọng về chức năng cơ bản của cơ thể.
Vấn đề khác là răng thưa tạo điều kiện thuận lợi cho thức ăn mắc kẹt giữa các răng, tăng nguy cơ phát sinh các vấn đề về sức khỏe nướu và răng như sâu răng, viêm nướu, viêm nha chu, và hôi miệng. Việc giữ gìn vệ sinh răng miệng trở nên khó khăn hơn, và vi khuẩn có thể dễ dàng sinh sôi trong môi trường này, gây tổn thương và làm yếu răng.
Không chỉ vậy, răng thưa còn có thể ảnh hưởng đến khả năng phát âm và tạo ra trở ngại trong quá trình học ngoại ngữ. Ngoài ra, tình trạng này còn khiến khớp cắn hoạt động không đúng, dẫn đến cảm giác đau và có thể gây sứt mẻ hoặc thậm chí gãy răng.
Những thách thức này đặt ra câu hỏi về cách khắc phục tình trạng răng thưa. Liệu người bị răng thưa có thể trám răng để cải thiện tình trạng? Những thắc mắc này sẽ được chi tiết và đầy đủ giải đáp trong phần tiếp theo.
Xem thêm: Khi nào nên trám răng sâu?
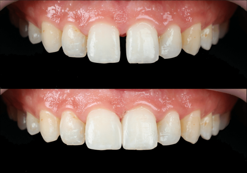
Có nên trám răng thưa không?

Quá trình trám răng liệu có thể áp dụng cho tình trạng răng thưa hay không? Đối với các chuyên gia nha khoa, đây là một lựa chọn hữu ích để khắc phục vấn đề thẩm mỹ và chức năng của răng miệng. Trám răng đơn giản là việc sử dụng vật liệu trám để che kín và lắp đầy những khoảng trống giữa các răng, đặc biệt là những răng cửa thường gặp trong tình trạng răng thưa.
Khi đưa ra vấn đề “răng thưa có thể trám được không?”, câu trả lời là có và quy trình trám răng thưa vô cùng hiệu quả đối với tình trạng răng thưa. Mặc dù răng thưa thường gặp ở răng cửa, tầm quan trọng nhất thường là về mặt thẩm mỹ. Với sự tiên tiến của kỹ thuật nha khoa ngày nay, trám răng thưa được thực hiện bằng vật liệu trám Composite hay còn được biết đến là trám răng thẩm mỹ. Điều đặc biệt là Composite có khả năng điều chỉnh màu sắc sao cho giống hệt với màu của răng tự nhiên, tạo nên một kết quả thẩm mỹ và tự nhiên.
Quá trình trám răng thưa không chỉ giúp cải thiện vấn đề thẩm mỹ mà còn được đánh giá cao về sự tiện lợi. Thực hiện quá trình này tương đối đơn giản và không mất nhiều thời gian. Do đó, nếu tình trạng răng thưa cần phải được khắc phục toàn bộ toàn hàm, quá trình trám có thể hoàn tất chỉ trong một buổi khám, giảm thiểu sự phiền toái của việc phải đi lại và hẹn khám nhiều lần.
Tuy nhiên, cần lưu ý rằng phương pháp trám răng thưa thường chỉ phù hợp với các trường hợp có khoảng thưa nhỏ, trong khi những tình trạng nghiêm trọng hơn có thể yêu cầu các phương pháp điều trị khác như chỉnh nha.
Quá trình trám răng thưa
Quá trình trám răng không được thực hiện thông qua hai kỹ thuật chính: trám răng trực tiếp và trám răng gián tiếp mỗi kỹ thuật mang lại những ưu điểm và ứng dụng riêng biệt.
Trám răng trực tiếp là quá trình mà bác sĩ nha khoa sử dụng chất liệu trám trực tiếp lên vùng răng cần phục hồi, tạo ra hình dạng và vẻ ngoại hình thẩm mỹ theo ý muốn của khách hàng. Đây là một phương pháp hiệu quả với sự tiện lợi và tốn ít thời gian, mang lại sự hoàn thiện nhanh chóng cho răng thưa.
Ngược lại, trám răng gián tiếp là một kỹ thuật phức tạp hơn, trong đó miếng trám sẽ được gắn bên ngoài theo dấu răng. Mặc dù quy trình này có thể tốn nhiều thời gian hơn và chi phí thực hiện cao hơn, nhưng miếng trám được hàn đúc bên ngoài này có độ bền chắc lâu dài và giữ được vẻ tự nhiên.
Quy trình trám răng trực tiếp bắt đầu từ việc sử dụng thuốc tiêm gây tê cục bộ để đảm bảo thoải mái cho bệnh nhân. Bề mặt răng được đánh nhám và phủ một lớp dung dịch dưỡng để tăng cường khả năng kết dính. Sau đó, vật liệu nhựa composite chất lượng cao được sử dụng, với khả năng chịu mài mòn và độ nén cao. Quá trình này liên tục được lặp lại, sử dụng sóng UV để đảm bảo vật liệu liên kết được làm cứng. Quá trình trám răng trực tiếp thường mất từ 30 đến 60 phút, tùy thuộc vào độ dày cần thiết của lớp trám.
Cuối cùng, miếng trám được đánh bóng để hoàn thiện quá trình. Trong trường hợp răng thưa nhiều và ảnh hưởng đến cấu trúc toàn hàm, các phương pháp như bọc sứ hoặc niềng răng có thể được xem xét để đạt được sự cân đối và chuẩn khớp cắn mong muốn. Quá trình này không chỉ mang lại hiệu quả thẩm mỹ mà còn tối ưu hóa chức năng của hệ thống răng miệng.
Trám răng thưa có tốt không? Ưu điểm của trám răng thưa?
Kỹ thuật trám răng thưa sử dụng các loại bột hàn răng chuyên dụng, được thiết kế đặc biệt để đắp vào kẽ hở giữa những chiếc răng bị thưa. Những vật liệu này không chỉ có độ bám dính tốt, màu sắc tự nhiên, mà còn có khả năng chịu lực nhai và lực cắn ở mức khá tốt. Đặc biệt, vật liệu trám răng được chọn lựa có tính tương thích sinh học cao, không gây phản ứng trong miệng, mang lại sự an toàn và thoải mái cho người sử dụng.
Tiết kiệm thời gian
So với các biện pháp thẩm mỹ răng khác, quá trình trám răng thưa mất ít thời gian hơn đáng kể. Toàn bộ quy trình trám răng chỉ mất khoảng 30 phút để hoàn thiện. Điều này biến kỹ thuật trám răng thành lựa chọn lý tưởng cho những người có lịch trình bận rộn và ít thời gian dành cho các quy trình nha khoa phức tạp.
Không xâm lấn, không đau:
Quá trình thực hiện trám răng thưa không yêu cầu mài bớt men răng hoặc xâm lấn vào cấu trúc răng. Bác sĩ chỉ cần nặn bột hàn răng và đắp thẳng vào kẽ hở của răng bị thưa. Điều này mang lại trải nghiệm thoải mái và không đau nhức cả trước và sau khi thực hiện quá trình trám răng.
Tiết kiệm chi phí
Một trong những ưu điểm lớn nhất của trám răng thưa là chi phí thấp hơn đáng kể so với các phương pháp như niềng răng hay bọc sứ. Giá hàn răng thưa chỉ bằng 1/10 hoặc thậm chí 1/20 so với những phương pháp khác, giúp người dùng tiết kiệm nhiều chi phí trong quá trình khắc phục vấn đề răng thưa. Điều này không chỉ mang lại hiệu quả thẩm mỹ mà còn làm cho quá trình khám chữa trị trở nên thân thiện với ví của bạn.
Xem thêm: Trám răng thẩm mỹ có bền không? Các phương pháp trám răng an toàn
Trám kẽ răng thưa mất bao lâu?
Quá trình thực hiện phương pháp trám kẽ răng thưa kéo dài từ 15 đến 20 phút. Mặc dù đây là phương pháp chữa trị nhanh chóng nhất cho răng bị thưa, nhưng chỉ áp dụng hiệu quả với các kẽ răng có kích thước bé hơn hoặc bằng 2mm. Đồng thời, người bệnh cần lưu ý duy trì sự cẩn thận sau quá trình trám. Tránh ăn các thực phẩm quá nóng, quá lạnh hoặc quá cứng để bảo vệ vùng trám. Thêm thông tin chi tiết được cung cấp ở phần dưới đây.
Chi phí cho việc trám một chiếc răng dao động từ 350.000 đến 1.200.000 VNĐ mỗi răng, tùy thuộc vào kích thước và tình trạng cụ thể. Ngoài ra, chi phí cũng phụ thuộc vào vật liệu được sử dụng trong quá trình trám răng. Để biết mức chi phí chính xác, người bệnh nên thảo luận với bác sĩ nha khoa.
Các vật liệu trám răng thưa
Hiện nay, có nhiều loại vật liệu trám răng được áp dụng trong lĩnh vực nha khoa, mỗi loại mang đến những ưu điểm và đặc tính riêng biệt, tùy thuộc vào tình trạng răng và mục đích phục hồi.

Trám răng bằng Amalgam
Amalgam là vật liệu trám răng có khả năng khắc phục hiệu quả các khuyết điểm của răng. Nó giúp răng trở nên bền chắc và khả năng ăn nhai tốt. Amalgam là lựa chọn phổ biến cho việc trám sâu răng ở vị trí răng hàm. Ưu điểm của nó bao gồm chi phí thấp, an toàn với cơ thể, tuy nhiên, tính thẩm mỹ không cao.
Trám răng bằng vàng và kim loại quý
Trám răng bằng vàng và kim loại quý được sử dụng nhiều trong quá khứ. Chúng có độ cứng cao, độ bền lâu dài và khó bong tróc. Tuy nhiên, vì màu sắc của kim loại nên thường được áp dụng cho kỹ thuật Inlay/Onlay, chủ yếu ở răng hàm.
Trám răng Composite
Composite, hay trám răng chất lỏng, được biết đến với nhiều ưu điểm như màu sắc tự nhiên, độ bền và khả năng chịu mài mòn cao. Nó được sử dụng để trám răng thẩm mỹ, tuy nhiên, có thể dễ bong tróc nên cần chăm sóc kỹ lưỡng.
Trám răng Inlay/Onlay với vật liệu sứ
Inlay/Onlay với chất liệu sứ là phương pháp trám răng phổ biến nhất hiện nay. Sứ có khả năng mô phỏng tự nhiên và giữ màu sắc tốt. Kết quả thẩm mỹ cao và bền chắc, thậm chí có thể sử dụng đến 15-20 năm.
Trám răng bằng GIC
Trám răng bằng GIC có tính thẩm mỹ cao, màu sắc trắng tự nhiên và chứa chất chống sâu răng nhỏ. Lựa chọn phổ biến cho tình trạng như cổ chân răng mòn, nứt vỡ răng cửa… Chi phí thấp là ưu điểm lớn của GIC.
Để chọn lựa vật liệu trám răng phù hợp, việc thăm bác sĩ nha khoa để được kiểm tra và tư vấn là quan trọng nhất. Họ sẽ giúp bạn xác định loại vật liệu phù hợp với tình trạng răng của mình.
Cách chăm sóc sau khi trám răng thưa
Để tránh những cảm giác đau nhức không mong muốn và đảm bảo rằng chỗ trám răng được bảo tồn lâu dài, việc thực hiện chăm sóc răng đúng cách sau khi trám tại nha khoa là không thể phủ nhận và có ảnh hưởng quan trọng đến kết quả cuối cùng.
Chế độ ăn uống:
Sau khi trám, trong khoảng hai giờ đầu nên tránh ăn hoặc uống bất kỳ thứ gì để đảm bảo vật liệu trám đạt độ cứng cần thiết và có đủ thời gian để thích ứng tốt với cấu trúc răng. Trong hai ngày đầu tiên, hạn chế tiêu thụ thực phẩm cứng, dai, dính, đặc biệt là khi bạn đã trám răng bạc. Đối diện với tình trạng ê buốt răng, tránh sử dụng thực phẩm và đồ uống quá nóng hoặc quá lạnh, để giảm thiểu áp lực và tác động không mong muốn lên chỗ trám.

Bảo vệ chỗ trám:
Hạn chế cử động như cắn thức ăn mạnh, cắn móng tay, nghiến răng hoặc sử dụng răng để mở nắp hộp hoặc xé bọc thực phẩm. Thay vào đó, hãy chuyển sang nhai ở bên còn lại để chỗ trám có đủ thời gian để phục hồi và tránh những tác động không mong muốn từ hành vi cử động này.
Vệ sinh chỗ trám:
Đánh răng bằng bàn chải lông mềm với áp lực vừa phải để tránh gây mòn không cần thiết. Súc miệng bằng nước súc miệng hoặc sử dụng nhiều nước ngay sau khi ăn, đặc biệt là khi tiêu thụ thức ăn chứa nhiều đường. Đến nha khoa để kiểm tra sức khỏe răng miệng tổng quát và kiểm tra lại chỗ trám mỗi 6 tháng, nhằm đảm bảo chỗ trám vẫn giữ được sự chắc chắn và khỏe mạnh.
Thực hiện đúng những bước chăm sóc sau trám răng này không chỉ giúp bảo vệ chỗ trám mà còn đảm bảo rằng smile của bạn sẽ luôn tươi tắn và khỏe mạnh.
Các lưu ý sau khi trám răng
Răng đau nhức và nhạy cảm sau khi trám răng

Sau khi hoàn tất quá trình trám răng, có thể bạn sẽ trải qua cảm giác răng nhạy cảm hơn khi tiếp xúc với không khí, thức ăn, hoặc thay đổi nhiệt độ. Tuy nhiên, quá trình này sẽ tạm thời, và sau vài tuần, răng sẽ trở lại trạng thái bình thường mà không cần đến thuốc giảm đau.
Nếu bạn gặp đau khi cắn thức ăn, đây có thể là dấu hiệu của vấn đề tại chỗ trám và là cơ hội để bạn gặp bác sĩ để kiểm tra và điều chỉnh kịp thời. Cảm giác đau khi răng chạm vào nhau cũng có thể xuất phát từ việc trám răng nhiều lần hoặc do miếng trám bị cộm, đòi hỏi sự điều chỉnh từ nha sĩ.
Răng vừa mới trám sẽ mất khoảng 1-2 tuần để truyền tín hiệu đau đến các răng lân cận. Trong thời gian này, bạn có thể cảm nhận đau hoặc nhạy cảm ở những răng xung quanh răng đã trám. Tuy nhiên, đau và nhạy cảm này sẽ giảm dần theo thời gian, chủ yếu sau 1-2 tuần.
Phản ứng với vật liệu trám
Mặc dù đã được tư vấn lựa chọn vật liệu trám răng, nhưng đôi khi, dị ứng với vật liệu trám là điều không thể tránh khỏi. Theo Hiệp hội Nha khoa Hoa Kỳ (ADA), dưới 100 trường hợp đã ghi nhận phản ứng sau khi trám bạc. Nguyên nhân có thể là do dị ứng với thủy ngân hoặc một trong các kim loại trong hỗn hợp trám bạc. Các triệu chứng có thể bao gồm phát ban và ngứa, tương tự như các triệu chứng dị ứng da điển hình.
Để tránh tác động không mong muốn từ việc trám răng, quan trọng là bạn nên thảo luận trước với nha sĩ để tìm các vật liệu trám khác phù hợp, đặc biệt là khi có tiền sử gia đình dị ứng với kim loại.
Rủi ro về vết trám bong tróc
Vật liệu trám có thể bị mòn, sứt mẻ hoặc bong tróc dưới áp lực liên tục từ hoạt động nhai hoặc nghiến răng. Trong trường hợp vết trám bị mòn, có thể dẫn đến việc vụn thức ăn và vi khuẩn xâm nhập, tăng nguy cơ sâu răng và viêm tủy răng. Một số trường hợp có thể tiến triển thành áp xe răng.
Sau khi trám răng, việc tuân thủ lời khuyên của nha sĩ là quan trọng. Cẩn thận trong ăn uống, duy trì vệ sinh răng miệng hàng ngày, kiểm tra thường xuyên vết trám tại nhà, và tuân thủ lịch khám răng định kỳ giúp phát hiện kịp thời những thay đổi của vết trám và tránh rủi ro về sức khỏe năng của răng.
Xem thêm: Trám răng có đau không? Trám răng đau không phụ thuộc vào yếu tố nào?
Nên trám răng thưa ở đâu?
Nếu bạn đang tìm kiếm một địa chỉ chất lượng để trám răng thưa, hãy lựa chọn nha khoa có đội ngũ bác sĩ giàu kinh nghiệm và sử dụng các thiết bị hiện đại trong quá trình trám răng. Bác sĩ có kinh nghiệm và tay nghề khéo léo sẽ giúp bạn đạt được kết quả phục hình đẹp mắt và vượt qua các hạn chế của loại vật liệu trám răng, mang lại kết quả trám đẹp, an toàn và bền bỉ.
Ngoài việc chọn một bác sĩ giỏi, bạn cũng cần tìm nơi trám răng có những ưu điểm sau:
Ưu tiên công nghệ trám răng laser
Lựa chọn nha khoa trám răng sử dụng công nghệ laser cũng là một quyết định sáng tạo. Công nghệ này sử dụng ánh sáng laser để kích thích chất trám, giúp chất trám bám chắc vào bề mặt răng và tăng độ bền cho vết trám, duy trì kết quả tốt lâu dài.
Lựa chọn nha khoa AB uy tín, chất lượng
Nếu bạn lo lắng về độ bền của vết trám răng, Nha Khoa AB là sự lựa chọn đáng tin cậy. Với công nghệ trám răng laser hiện đại, bạn có thể tăng độ bền của vết trám và đạt được hiệu quả thẩm mỹ cao nhờ vào kỹ thuật khéo léo của bác sĩ với nhiều năm kinh nghiệm.
Công nghệ trám răng laser sử dụng ánh sáng laser đơn sắc để kích thích vật liệu trám, làm cho chất trám bám chắc chắn. Vật liệu trám cũng sẽ được hóa cứng, khắc phục tình trạng khoảng rỗng, không bị co kéo hay kích thích khi ăn nóng lạnh, mang lại độ bền tối đa.
Khi trám răng tại Nha Khoa AB, bạn sẽ được phục vụ bởi bác sĩ chuyên môn, giàu kinh nghiệm, và tay nghề khéo léo. Bác sĩ sẽ kiểm tra và phục hình trực tiếp, đồng thời vệ sinh răng miệng và điều trị các vấn đề bệnh lý để tăng hiệu quả và độ bền của quá trình trám răng.
Nha Khoa AB trang bị nhiều thiết bị hiện đại, máy móc ứng dụng công nghệ cao để phục vụ việc thăm khám và điều trị một cách nhanh chóng, hiệu quả, và an toàn. Mỗi khách hàng đều được sử dụng bộ khay dụng cụ và tay khoan riêng, giúp tránh lây nhiễm chéo và đảm bảo an toàn trong quá trình điều trị.


